Основні Етіологічні Фактори
Клітини, які випадково гинуть у відповідь на гостре пошкодження, травму, нестачу кровопостачання та хімічні речовини/ліки.
Ці клітини не піддаються жодному регуляторному та селективному механізму, а тому гинуть через процес клітинного некрозу.
Гостре Пошкодження | . |
Травма | |
Дефіцит Кровопостачання | |
Хімікати, Ліки, Наркотики |

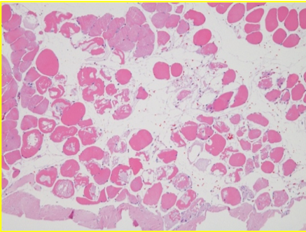
дезорганізація спостерігається через 25 хв після Ендопіл

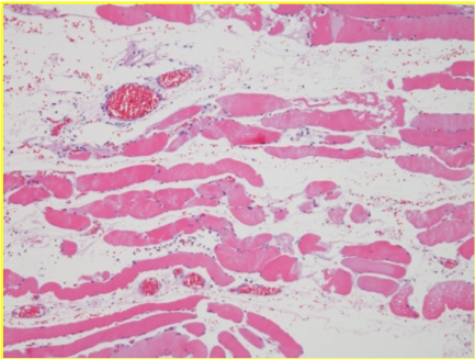
реорганізація через 60 хв після Ендопіл
ЕКСПЕРИМЕНТ
після ін'єкції 0,05 мл Ендопіл
Кафедра дослідження органів і систем, Університет Акіта, Школа медицини та клініки YMC-Biyou Йокогама Клінік Мінато і Сіндзюку
АНАЛІЗ :Sapporo Pathological Research Institute Ltd.
Наслідки
Клітини в стані некрозу набрякають і вибухають, виливаючи свій вміст в навколишнє середовище, забруднюючи середовище, в якому знаходяться інші клітини, викликаючи і запускаючи запальну реакцію, поширюючись, як ефект доміно, прогресуючи як дегенеруючий фактор.
Некроз - це процес, при якому відбувається втрата енергії (отже, втрата сигнальних факторів), що призводить до дефектів метаболізму внаслідок втрати іонних градієнтів (ці градієнти присутні з обох боків мембрани плазматичної клітини).
